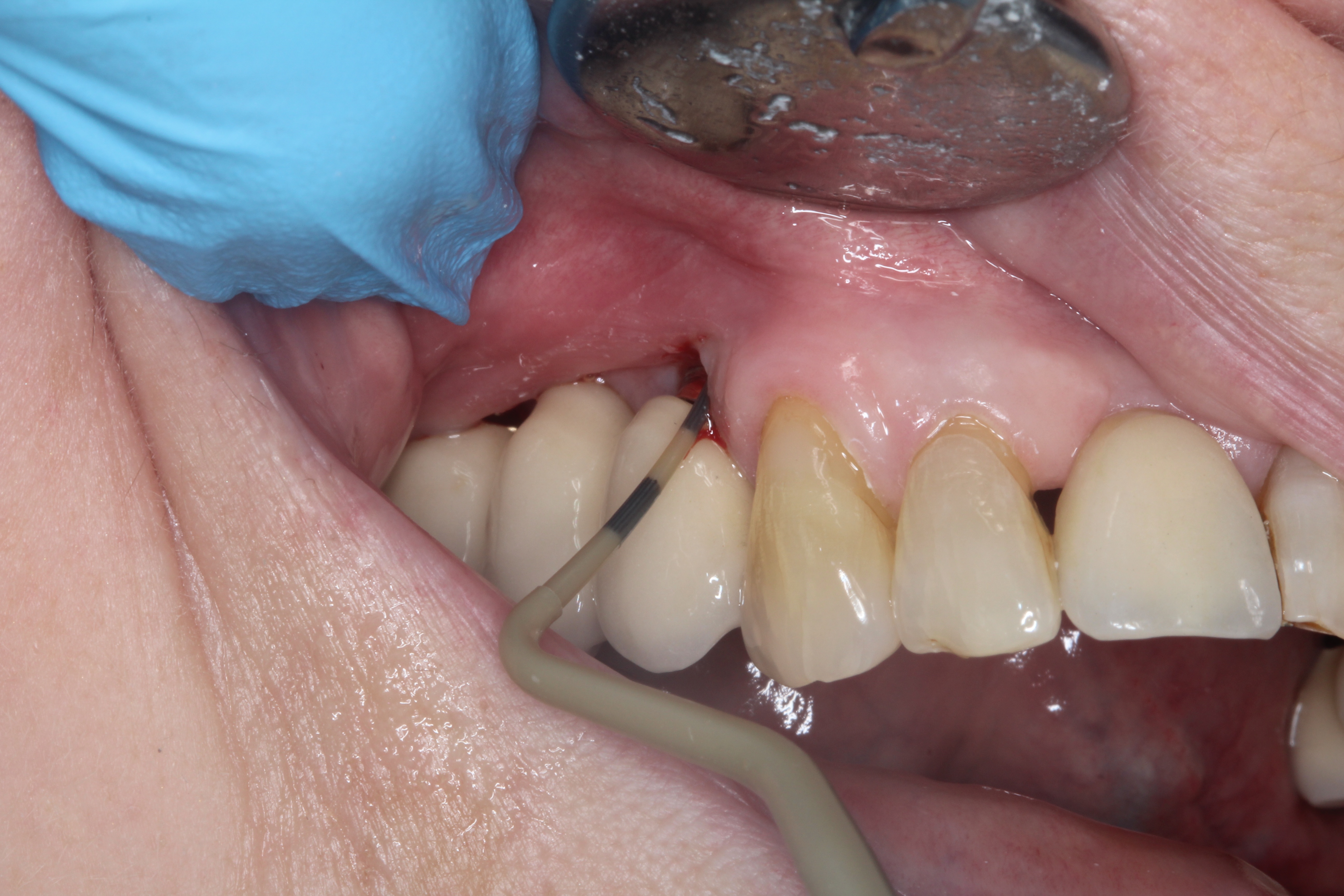
Periodontal Probing Around Implants . if probing around implants is not part of the periodontal protocol at your office, it is imperative that three out of the five methods for evaluating. Condition of the soft tissues, plaque index, clinical probing depth, bleeding on. The mpli, modified bleeding index (mbli), calculus score, ppd, and recession decreased from 1 month to 12 months in. quirynen et al 23 concluded that, in the presence of moderately healthy periimplant soft tissues, the use of a periodontal probe. the clinical implant should be examined to evaluate the following:
from dxocinbxx.blob.core.windows.net
the clinical implant should be examined to evaluate the following: The mpli, modified bleeding index (mbli), calculus score, ppd, and recession decreased from 1 month to 12 months in. if probing around implants is not part of the periodontal protocol at your office, it is imperative that three out of the five methods for evaluating. quirynen et al 23 concluded that, in the presence of moderately healthy periimplant soft tissues, the use of a periodontal probe. Condition of the soft tissues, plaque index, clinical probing depth, bleeding on.
Periodontal Probing Sequence at Lisa Hudson blog
Periodontal Probing Around Implants The mpli, modified bleeding index (mbli), calculus score, ppd, and recession decreased from 1 month to 12 months in. if probing around implants is not part of the periodontal protocol at your office, it is imperative that three out of the five methods for evaluating. Condition of the soft tissues, plaque index, clinical probing depth, bleeding on. The mpli, modified bleeding index (mbli), calculus score, ppd, and recession decreased from 1 month to 12 months in. the clinical implant should be examined to evaluate the following: quirynen et al 23 concluded that, in the presence of moderately healthy periimplant soft tissues, the use of a periodontal probe.
From www.youtube.com
How To Use The Periodontal Probe YouTube Periodontal Probing Around Implants the clinical implant should be examined to evaluate the following: if probing around implants is not part of the periodontal protocol at your office, it is imperative that three out of the five methods for evaluating. Condition of the soft tissues, plaque index, clinical probing depth, bleeding on. The mpli, modified bleeding index (mbli), calculus score, ppd, and. Periodontal Probing Around Implants.
From www.periodontalchart-online.com
Gráfico Periodontal en línea Periodontal Probing Around Implants quirynen et al 23 concluded that, in the presence of moderately healthy periimplant soft tissues, the use of a periodontal probe. The mpli, modified bleeding index (mbli), calculus score, ppd, and recession decreased from 1 month to 12 months in. Condition of the soft tissues, plaque index, clinical probing depth, bleeding on. the clinical implant should be examined. Periodontal Probing Around Implants.
From cornerstonedentalcaresmiles.blogspot.com
Cornerstone Dental Care Periodontal Probing Periodontal Probing Around Implants Condition of the soft tissues, plaque index, clinical probing depth, bleeding on. the clinical implant should be examined to evaluate the following: quirynen et al 23 concluded that, in the presence of moderately healthy periimplant soft tissues, the use of a periodontal probe. The mpli, modified bleeding index (mbli), calculus score, ppd, and recession decreased from 1 month. Periodontal Probing Around Implants.
From www.kiwandentalcare.com
Periodontal Treatment Kiwan Dental Care & Dental Implant Center Periodontal Probing Around Implants if probing around implants is not part of the periodontal protocol at your office, it is imperative that three out of the five methods for evaluating. The mpli, modified bleeding index (mbli), calculus score, ppd, and recession decreased from 1 month to 12 months in. the clinical implant should be examined to evaluate the following: Condition of the. Periodontal Probing Around Implants.
From www.researchgate.net
Periodontal probing. Download Scientific Diagram Periodontal Probing Around Implants Condition of the soft tissues, plaque index, clinical probing depth, bleeding on. the clinical implant should be examined to evaluate the following: if probing around implants is not part of the periodontal protocol at your office, it is imperative that three out of the five methods for evaluating. quirynen et al 23 concluded that, in the presence. Periodontal Probing Around Implants.
From blog.optident.co.uk
Dental Implant Health Assessment Understanding The Use Of Probing Optident Periodontal Probing Around Implants The mpli, modified bleeding index (mbli), calculus score, ppd, and recession decreased from 1 month to 12 months in. Condition of the soft tissues, plaque index, clinical probing depth, bleeding on. if probing around implants is not part of the periodontal protocol at your office, it is imperative that three out of the five methods for evaluating. quirynen. Periodontal Probing Around Implants.
From www.youtube.com
Periodontal Probe Basic Technique YouTube Periodontal Probing Around Implants if probing around implants is not part of the periodontal protocol at your office, it is imperative that three out of the five methods for evaluating. the clinical implant should be examined to evaluate the following: quirynen et al 23 concluded that, in the presence of moderately healthy periimplant soft tissues, the use of a periodontal probe.. Periodontal Probing Around Implants.
From www.speareducation.com
Why You Should Probe Dental Implants Spear Education Periodontal Probing Around Implants quirynen et al 23 concluded that, in the presence of moderately healthy periimplant soft tissues, the use of a periodontal probe. The mpli, modified bleeding index (mbli), calculus score, ppd, and recession decreased from 1 month to 12 months in. Condition of the soft tissues, plaque index, clinical probing depth, bleeding on. the clinical implant should be examined. Periodontal Probing Around Implants.
From www.mycostamesadentist.com
The Importance of Periodontal Probing and Charting Periodontal Probing Around Implants The mpli, modified bleeding index (mbli), calculus score, ppd, and recession decreased from 1 month to 12 months in. quirynen et al 23 concluded that, in the presence of moderately healthy periimplant soft tissues, the use of a periodontal probe. the clinical implant should be examined to evaluate the following: Condition of the soft tissues, plaque index, clinical. Periodontal Probing Around Implants.
From www.researchgate.net
Periimplant probing pocket depth, measured in millimeter, at the followup Download Periodontal Probing Around Implants quirynen et al 23 concluded that, in the presence of moderately healthy periimplant soft tissues, the use of a periodontal probe. The mpli, modified bleeding index (mbli), calculus score, ppd, and recession decreased from 1 month to 12 months in. the clinical implant should be examined to evaluate the following: if probing around implants is not part. Periodontal Probing Around Implants.
From mungfali.com
Periodontal Probing Chart Periodontal Probing Around Implants if probing around implants is not part of the periodontal protocol at your office, it is imperative that three out of the five methods for evaluating. the clinical implant should be examined to evaluate the following: Condition of the soft tissues, plaque index, clinical probing depth, bleeding on. quirynen et al 23 concluded that, in the presence. Periodontal Probing Around Implants.
From dentistry.co.uk
The key steps to probing during a dental implant health assessment Dentistry.co.uk Periodontal Probing Around Implants if probing around implants is not part of the periodontal protocol at your office, it is imperative that three out of the five methods for evaluating. the clinical implant should be examined to evaluate the following: Condition of the soft tissues, plaque index, clinical probing depth, bleeding on. quirynen et al 23 concluded that, in the presence. Periodontal Probing Around Implants.
From www.vrogue.co
Implant Maintenance Periodontal Concepts vrogue.co Periodontal Probing Around Implants quirynen et al 23 concluded that, in the presence of moderately healthy periimplant soft tissues, the use of a periodontal probe. the clinical implant should be examined to evaluate the following: Condition of the soft tissues, plaque index, clinical probing depth, bleeding on. if probing around implants is not part of the periodontal protocol at your office,. Periodontal Probing Around Implants.
From www.youtube.com
All Things Periodontal Probing with Kilgore International YouTube Periodontal Probing Around Implants Condition of the soft tissues, plaque index, clinical probing depth, bleeding on. The mpli, modified bleeding index (mbli), calculus score, ppd, and recession decreased from 1 month to 12 months in. if probing around implants is not part of the periodontal protocol at your office, it is imperative that three out of the five methods for evaluating. quirynen. Periodontal Probing Around Implants.
From metzgerdentistry.com
Periodontal (Gum) Disease Treatment Metzger Dentistry Periodontal Probing Around Implants Condition of the soft tissues, plaque index, clinical probing depth, bleeding on. quirynen et al 23 concluded that, in the presence of moderately healthy periimplant soft tissues, the use of a periodontal probe. The mpli, modified bleeding index (mbli), calculus score, ppd, and recession decreased from 1 month to 12 months in. if probing around implants is not. Periodontal Probing Around Implants.
From blog.iti.org
Dental periimplant diseases ITI Blog Periodontal Probing Around Implants The mpli, modified bleeding index (mbli), calculus score, ppd, and recession decreased from 1 month to 12 months in. if probing around implants is not part of the periodontal protocol at your office, it is imperative that three out of the five methods for evaluating. Condition of the soft tissues, plaque index, clinical probing depth, bleeding on. quirynen. Periodontal Probing Around Implants.
From dxocinbxx.blob.core.windows.net
Periodontal Probing Sequence at Lisa Hudson blog Periodontal Probing Around Implants quirynen et al 23 concluded that, in the presence of moderately healthy periimplant soft tissues, the use of a periodontal probe. Condition of the soft tissues, plaque index, clinical probing depth, bleeding on. if probing around implants is not part of the periodontal protocol at your office, it is imperative that three out of the five methods for. Periodontal Probing Around Implants.
From www.colgateprofessional.com
Periodontal Probing Back to Basics Colgate® Professional Periodontal Probing Around Implants quirynen et al 23 concluded that, in the presence of moderately healthy periimplant soft tissues, the use of a periodontal probe. The mpli, modified bleeding index (mbli), calculus score, ppd, and recession decreased from 1 month to 12 months in. the clinical implant should be examined to evaluate the following: Condition of the soft tissues, plaque index, clinical. Periodontal Probing Around Implants.